Diş Eti Kanaması Nedir?
Diş Eti Kanaması Nedir?

Diş eti kanaması; zararlı mikroorganizmaların ağız içerisindeki etkinliklerinin ve beraberinde oluşan enfeksiyonların sonucudur. Önemli bir diş eti hastalığı belirtisidir. Diş eti kanaması genellikle kendisini diş fırçalama işleminden sonra belli eder. Ağrının sızının henüz gerçekleşmediği, sadece kanamanın görüldüğü bu evre; diş eti hastalıklarının en erken evresidir.
Ağız içimizdeki görüntüler bizim organlarımız ve genel sağlığımız hakkında önemli fikirler verir; çünkü ağzımız ve iç organlarımız birbirleriyle etkileşim halindedir. İç organlardaki ya da kan değerlerindeki anormal durumlar ağız içinde yankı bulurken; aynı zamanda ağız içindeki olumsuzluklar da organlarda yankı bulmakta ve uzun vadede ciddi zararlar verebilmektedir. Bu paradoksu kırmak adına ağız bakımına dikkat etmek; ağız içi mukozasına zarar verecek gıdalardan ya da maddelerden uzak durmak gerekir. Hem organları hem de ağız içi dokusunu korumak bu şekilde mümkündür.
Diş Eti Kanaması Neden Olur?

Diş eti kanaması bir hastalık değil, bir hastalık belirtisidir. Diş etinin çeşitli sebeplerle iltihaplanması sonucunda diş eti kanaması oluşur. Bundan dolayı diş eti iltihabının sebepleri; diş eti kanamasının da sebepleri olacaktır. Diş eti iltihabı, diş eti kanaması ve diş eti çekilmesi birbirini takip eden durumlardır. Bütün bu durumların altında yatan en önemli sebep ise ağız bakımının ihmal edilmesidir.
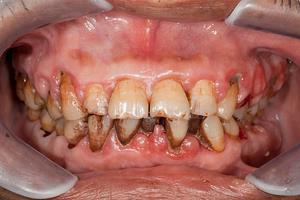
Diş taşı oluşumları; diş eti hastalıklarının en büyük sebebidir. Diş taşı; uzun süre dişten temizlenmemiş yapışkan ve renksiz bakteri plaklarının, tükürük salgısındaki minerallerle birleşerek kireç halini alması durumudur. (Kalsifikasyon: Kireçleşme/kemikleşme) Diş taşı aynı zamanda tartar ve kalkülüs isimleriyle de anılır. Bunlar dişe sıkıca tutunan yapılardır. Yüzeyleri oldukça kötüdür ve geçirgendir. üzerindeki bakterilerle birlikte enfeksiyon oluşturarak diş etinin iltihaplanmasına ve diş eti kanaması sorununun oluşmasına sebep olur. Diş taşı dışında diş eti kanamasına sebep olan bazı önemli etkenler şunlardır:
- Kalitesiz diş protezleri ve beyazlaştırıcı diş macunları
- Dişleri yanlış, eksik ya da sert fırçalama
- Ağız içi mukozasına zarar veren davranışlar ve alışkanlıklar (Aşırı sıcak gıdalar yiyip içmek, sigara kullanmak, asitli içecekler tüketmek gibi.)
- Dişte oluşan çürükler
- Dişe alınan darbeler
- Ağız kanseri
- Aft oluşumları (ağız içerisinde çıkan yaralar ve pamukçuklar)
Diş Eti Kanaması Belirtileri Nelerdir?

Diş eti kanaması; diş eti iltihabının belirtilerinden birisidir. Bu sebeple diş eti iltihabı belirtileri aynı zamanda diş eti kanamasının belirtileri hükmünde olacaktır. Diş eti iltihabının başlangıç aşamasına “gingivitis” denilmektedir. Gingivitis aşamasında; kızarıklık, şişlik ve en ufak bir dokunuş ya da diş fırçası müdahalesinde diş eti kanaması görülür. Eğer bu önemli belirtiler dikkate alınır ve ağız bakımına eskisinden çok daha fazla itina gösterilirse, bu durumdan kurtulmak ve ağız içini eski sağlığına kavuşturmak mümkün olacaktır. Belirtiler dikkate alınmaz ve dişlerdeki bakteri plaklarının diş taşı haline gelmesine izin verilirse, iltihap hızla ilerleyecek ve doktor müdahalesine ihtiyaç olacaktır.
İltihaplı dokular ve diş etlerinin iç kısmında biriken bakteriler, geçmek bilmeyen ağız kokularına sebep olmaktadır. Bakteri plaklarından fırçalayarak kurtulabilmek mümkündür; ancak “diş taşları” fırçalayarak gidecek oluşumlar değildir. Profesyonel müdahale gerekir.
Diş Eti Kanaması Nasıl Önlenir?

Diş eti kanamasını önlemek; diş taşı ve diş eti iltihabını önlemek ile mümkün olabilmektedir. Diş eti iltihabı “gingivitis” dönemindeyse bunun önüne geçilmesi mümkün olacaktır. Ağızda bakterilerin yer edinip beslenebileceği bir yüzey bırakmamak; diş etinde oluşan iltihap gidişatını durdurur. Böylelikle diş eti, iyileşmek ve yenilenmek için fırsat bulmuş olur.
Normal kişiler sabah ve akşam olmak üzere günde 2 kez diş fırçalarken, diş eti hastalığı yaşayan kişilerin mümkünse her öğünden ve her şekerli gıdadan sonra dişlerini fırçalamasında yarar vardır. Diş ipi kullanımı da en az diş fırçası kadar önemlidir. Diş taşları en çok dişlerin ara kısımlarında oluşur. O kısımlara fırçayla ulaşmak neredeyse imkânsızdır. Diş ipini düzenli kullanarak, ara kısımlardaki bakteri plaklarını tartar haline dönüşmeden gidermek gerekir. Her şeye dikkat edildiği halde diş taşı oluşumunun engellenemediği durumlar da olabilmektedir. Bu sorun anca 6 ayda bir düzenli diş hekimi kontrollerine gidilerek çözülebilir.
Dilin üzeri mikroorganizmalar açısından oldukça elverişli bir ortamdır ve bakteriler en çok burada barınır. Tüketilen besinlerin dilin üzerinde kalması, alkol ya da sigara gibi tahrip edici maddelerin kullanılması, ağız bakımına hiç önem verilmemesi gibi durumlar; mikroorganizmalar için elverişli olan bu ortamı çok daha elverişli yapmaktadır. Buradaki mikroorganizmalar her halükarda dişlere ve diş etine yansıyacak ve diş eti kanamasını kaçınılmaz kılacaktır. Dil temizliği bu bağlamda çok önemlidir. Dil üzerindeki plakları kazıyan ve dili fırçalayan bakım aletleri mevcuttur. Bu aparatları edinmek ve kullanmak ağız bakımına büyük katkı sağlayacaktır.
Diş Eti Kanaması Nasıl Tedavi Edilir?

Diş eti kanaması diş taşlarının eseri olduğundan dolayı bu diş taşlarının diş hekimi kontrolünde iyi bir şekilde temizlenmesi, sorunun büyük oranda çözülmesini sağlayacaktır. Bakteri plaklarının ve hastalıklı dokuların da temizlenmesi şarttır. Diş taşları kavitron adı verilen ucu sivri ve titreşimli bir alet ile temizlenir. Taş kırma makinelerine benzeyen bir çalışma mekanizması vardır. Bunun dışında çeşitli uçlarda el aletleri de mevcuttur.
Diş eti kanaması ilerlemişse ve diş eti çekilmesi oluşmaya başlamışsa tedavi daha zorlu olur. Diş etinin çekildiği kısımda oluşan boşluklarda da diş taşı oluşumları ve gıda birikmeleri görülür. Ayrıca yeni oluşmaya başlamış bakteri plakları da mevcuttur. Diş etinin sağlıklı hale getirilmesi için bütün bu yabancı ajanlardan arındırılması şarttır. 4 mm’ye kadar olan diş eti çekilmelerinde doktorların el aletleri ya da cihazları o derinliklere inmekte yeterli gelmektedir. Ancak 4 mm’yi de geçiyorsa bu halde “flap operasyonu” da denilen cerrahi müdahale gerekir.
Flap operasyonunda diş eti kesilerek açılır ve el aletlerinin giremeyeceği derinliklerde oluşmuş olan diş taşları ve bakteri plakları temizlenir. Eksilmiş olan kemik dokusunun yerine kemik tozları doldurulur ve kapatılarak dikiş atılır. Yaklaşık bir hafta sonra kişi iyileşmiş olur.
Diş Eti Kanaması Tedavi Edilmezse Ne Olur?

Diş eti kanaması; diş eti hastalıklarında bir erken evre belirtisidir. Dikkate alınmaması ve ilerlemesine izin verilmesi sonucunda diş eti çekilmesine, çene kemiği erimesine ve dişin kaybedilmesine varabilecek kadar ciddi durumlar doğabilir. Ağız içerisinde gelişen bu durumlar uzun vadede kişinin genel sağlığını da etkisi altına alır. Ağızda ilerleyen iltihap ve kanama yemek yeme ve yutkunma zorlukları da doğurur. Kişiler beslenmekten kaçınabilir. Bunun sonucunda vitamin ve mineral eksiklikleri görülmeye başlar. Oluşan ağız kokusu ve konuşma zorluğu, kişinin sosyal ilişkilerini de olumsuz yönde etkiler.
Bakımsız ağızlar ve tedavi edilmemiş diş eti hastalıkları; kalp ve dolaşım sistemi hastalıklarında neredeyse %25 oranında tetikleyici rol oynar. Dolaşım sistemi vücudun her bölgesinde etkin olduğundan dolayı, burada çıkan en küçük bir olumsuzluk zaman içerisinde tüm organları etkiler. Organların çalışma kalitesi düştüğünde vücut pek çok hastalığa açık hale gelir.




